小腸氣手術只需要開刀1cm?認識2種小腸氣手術!
手術是治療小腸氣的唯一有效方法,主要分為傳統開放式手術及腹腔鏡微創手術。開放式手術通過較大切口修補缺口。腹腔鏡手術則以小切口操作,創傷較小,恢復較快,適合複雜或復發病例。
肚臍有腫塊是小腸氣症兆?注意這5大常見症狀!
小腸氣若未及時處理,小腸氣可能引發多種嚴重併發症,例如腸梗阻、絞窄性疝氣、慢性疼痛、感染以及嵌頓型疝氣。這些併發症不僅影響患者的生活,還可能導致危及生命的後果。
小腸氣會出現在腹股溝下方?認識小腸氣5種形態!
小腸氣(疝氣)是一種常見的腹部疾病,指腹腔內的組織或器官(如腸管)因腹壁薄弱而突出,形成腫塊。根據發生的部位及特徵,小腸氣可分為多種形態。
經常抬重物導致小腸氣?了解小腸氣2大種類和成因!
小腸氣(疝氣)是一種常見的醫療狀況,對不同年齡層的人造成影響。當腹腔內的器官(如小腸)通過腹壁的薄弱處或缺口向外突出時,便會形成皮下的腫塊,帶來不適甚至健康風險。
早期消化道病變適合做ESD嗎?3分鐘了解內視鏡黏膜下剝離術適合人群!
內視鏡黏膜下剝離術(Endoscopic Submucosal Dissection, ESD)是一種先進的微創內視鏡技術,廣泛應用於早期消化道病變的治療,如食道癌、胃癌、大腸直腸癌及癌前病變(如腸化生或大型瘜肉)。
腸化生能無創治療?內視鏡黏膜下剝離術的3大好處!
腸化生雖然本身不是癌症,但若未妥善處理,可能逐步發展為消化道癌症,對健康造成潛在威脅。了解不同的治療方法,能有效控制病變進展,保護胃腸功能與健康。
想降低腸化生與胃癌風險?掌握6大預防方法!
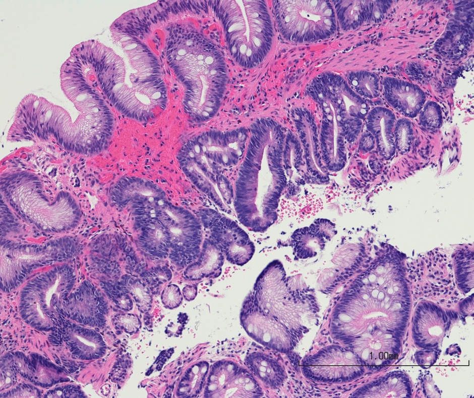
腸化生是胃黏膜細胞異常轉變為類似腸道細胞的狀態,這種情況可能增加日後罹患胃癌的風險,但透過健康生活方式和定期檢查,可以有效降低發生的機會。以下將分享一些實用的預防方法,幫助保護胃部健康。
照胃鏡能及時發現腸化生?了解兩大診斷方法!
腸化生是指胃黏膜細胞轉變為類似腸道細胞的情況,通常與慢性胃炎或幽門螺旋菌感染相關,增加胃癌風險。胃鏡檢查是診斷腸化生的主要方法,可直接觀察胃黏膜並配合活組織檢查,準確確認病變,為早期發現及預防胃癌提供重要依據。以下將詳細介紹胃鏡在腸化生診斷中的作用及其他輔助的檢查方法。
上腹持續不適可能是腸化生?5大症狀要注意!
腸化生是一種胃黏膜細胞異常轉變的病變,早期可能完全沒有明顯症狀,但卻潛藏健康風險,了解其常見症狀,有助及早發現問題並及時治療,從而保護胃部健康。以下將詳細介紹腸化生的症狀、不同階段的特徵,以及需要特別留意的警號。
腸化生是誘發胃癌的重大元兇?醫生解析4大主要成因!
腸化生是一種常見的胃黏膜病理改變,與慢性胃部疾病及胃癌風險密切相關,它通常在長期炎症刺激下發生。了解腸化生的成因與風險因素,有助及早採取預防與治療措施,保障胃部健康。以下將詳細解析腸化生的定義及其成因,並提供相關的健康建議。